
Before & Afters
Real Patient Transformations
Changing Lives, One Smile At A Time
Many patients step into our practice with dreams of a brand new smile. Seeing these individuals walk out of our doors with a strong smile and newfound confidence is one of our favorite parts of the job here at Carron Family Dental. No matter your goals, whether it's achieving a straighter smile with clear aligners, enhancing aesthetics with veneers, or restoring teeth with dental crowns, we're delighted to be a part of your oral health journey. Take a look at our Before & After gallery to explore real patient stories!
Real Patients, Real Results
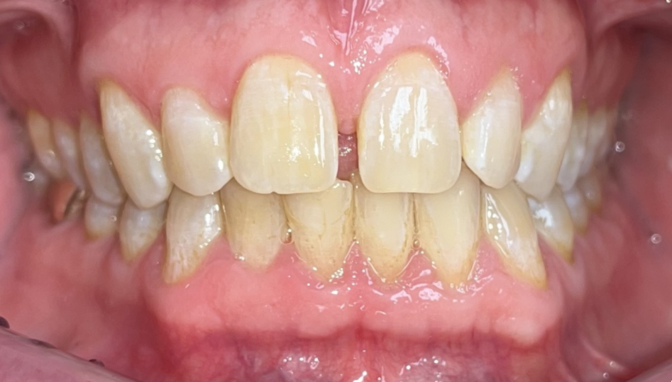
Bonding of Tooth Colored Filling
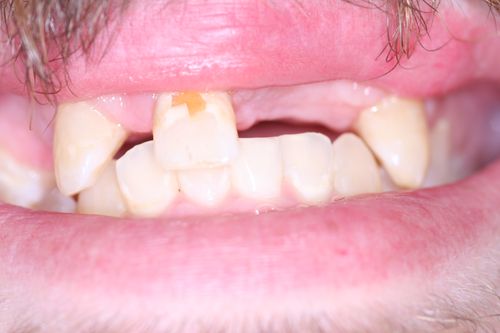
The moment we placed a custom crown on the discolored and chipped tooth, the transformation was remarkable. Right away, the crown seamlessly blended with the patient's other teeth, completely masking any previous imperfections. It was like a reset button for their confidence!


Crown on Discolored and Chipped Tooth


Clear Aligner Therapy
Here is a great example of a cosmetic fix with clear aligner therapy that drastically changed the appearance and smile of this young lady.


Cosmetic Dentistry
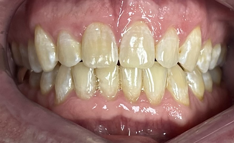
Cosmetic space closure with tooth colored filling material


Gap Closure with Tooth Colored Filling
This patient loved the results she could see from same-day tooth colored fillings. It was a quick and cost-effective way to close her gap.


Clear Aligner Therapy
We treated this patient with clear aligner therapy to close the gap between his front teeth and align all of his teeth to achieve the smile he hoped for!


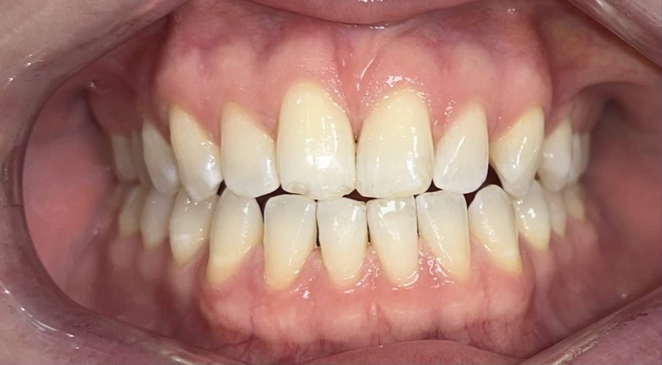
Gap Closure
Closing a minor gap with tooth colored filling material helped this patient smile with a bit more confidence!


Bridge
After this patient experienced an accident, we applied bridges to replace the damaged teeth and restore their smile

.webp)
Gap Closure
We were able to close the gap between the two teeth with tooth colored filling material, giving the patient a more aesthetically pleasing smile.


Cosmetic Crowns and Veneers
This large case of cosmetic crowns and veneers completely transformed the patient’s smile and confidence.



